
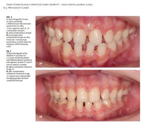
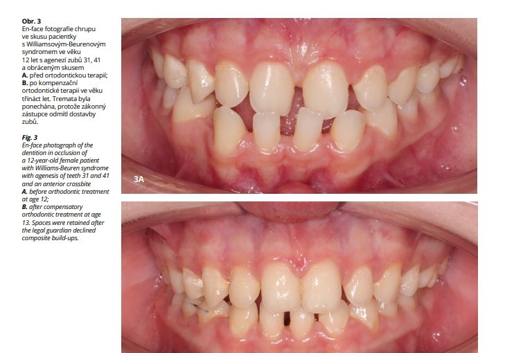
V časopise Česká stomatologie a praktické zubní lékařství – Czech dental journal 4/2025 vyšel díky MUDr. Wandě Urbanové koncem minulého roku důležitý přehledový článek s názvem Interdisciplinární stomatologická péče o pacienta s Williamsovým-Beurenovým syndromem.
Stáhnout si ho můžete Dental_care_WBS
